

Direct Conversion

The real revolution is wireless data transmission: thanks to the Wireless Infinity system, Newtom DCiS sends images to the PC-connected docking station in real time, eliminating clutter and operational constraints. Without cables and without compromises, the sensor delivers a smoother, more comfortable experience for both operator and patient.
Designed to be hard-wearing, ergonomic and deliver unmatched diagnostic performance, Newtom DCiS Wireless redefines intraoral radiology standards and takes diagnostic precision and operational flexibility to the next level.
Ergonomics

Newtom DCiS Wireless is perfect for those seeking an ergonomic, efficient device that integrates seamlessly into the practice, providing flexibility, precision and unlimited connectivity. Designed to deliver a smooth, user-friendly experience, it minimises bulk and improves practicality for both practitioner and patient. Compact design, the absence of cables and rounded edges ensure simple, comfortable positioning, streamlining each phase of the scan.
Adaptive Multi-User Technology makes the sensor ideal for practices with multiple operators and workstations. The system lets users pair multiple sensors with a single docking station or connect a single sensor to different workstations, thus optimising management of X-ray images and ensuring a dynamic, uninterrupted workflow.
Tools

Newtom DCiS Wireless offers advanced tools that optimise workflow, improve diagnostic accuracy and maximise comfort for both the operator and the patient.
-
Dedicated aligners
Dedicated devices aid alignment between sensor and X-ray source, ensuring perfect correspondence and high-quality images, reducing the risk of error.
In addition to receiving images in real time, the docking station acts as a charging base and can be positioned on a table or wall-mounted, optimising use of space.
-
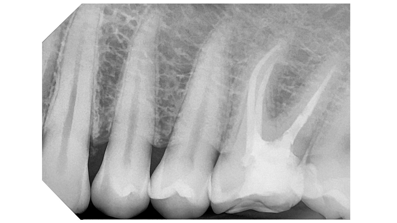
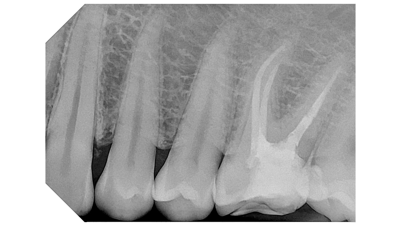
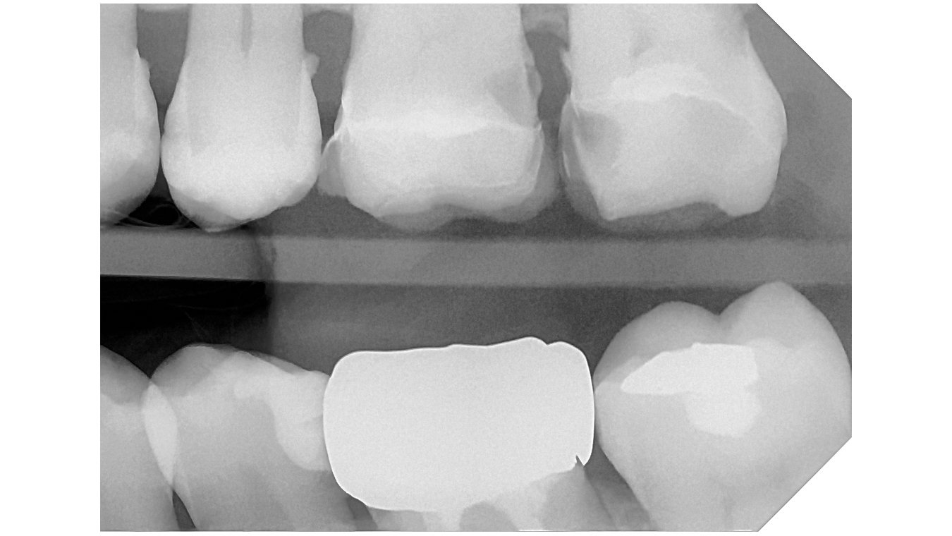
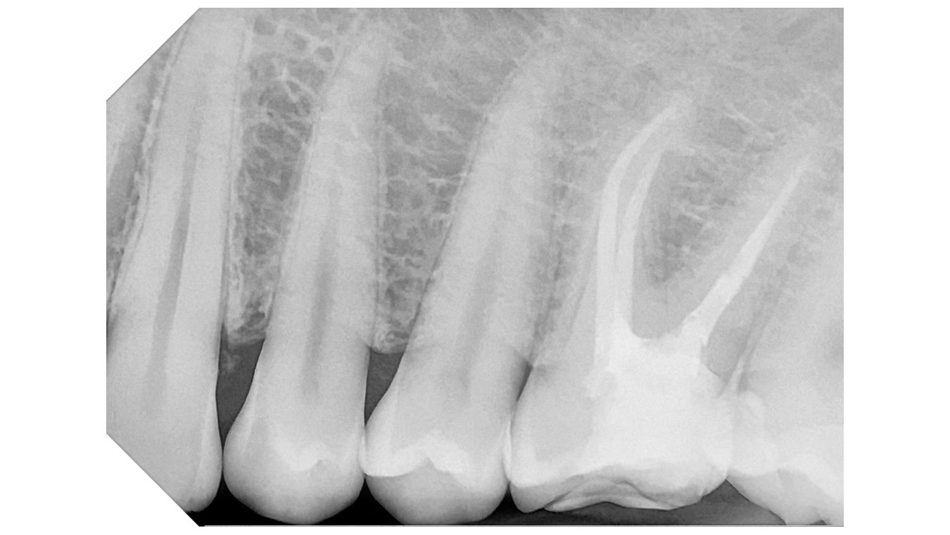
High-level analysis
Integrated with the supplied software, the system offers advanced analysis tools and a selection of specific filters to improve image readability in line with clinical requirements:
Default:
High Contrast
High Details
Soft Tissue Preserving
Caries Revealing
{{ name }}
No documents match the provided filters.