Características
La plataforma 2D/3D ofrece una alta calidad diagnóstica y puede integrar opcionalmente el brazo telerradiográfico. Gracias a los protocolos de baja dosis, a la exclusiva tecnología SafeBeam™ y al sensor de 16 bit originales, el sistema produce imágenes de alta resolución 2D y 3D con miles de niveles de gris.
-
Generador de alta frecuencia
El generador de alta frecuencia con emisión pulsada optimiza la exposición garantizando diagnósticos precisos y la máxima protección para la salud del paciente.


Excelencia en el 3D
-
3 protocolos de adquisición
Gracias a los campos de vista de 6x6 a 10x10 cm y a los 3 protocolos de adquisición (ECO QUALITY – REGULAR QUALITY – BEST QUALITY), Newtom GO permite optimizar la dosis en función de las necesidades diagnósticas y del área anatómica de interés.
-
Algoritmos de vanguardia
El algoritmo avanzado aMAR (autoadaptive Metal Artifact Reduction) garantiza imágenes nítidas incluso en presencia de elementos metálicos, reduciendo al mínimo los artefactos y mejorando el resultado diagnóstico.
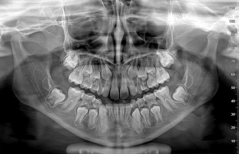
Calidad y función 2D
Newtom GO 2D/3D garantiza diagnósticos exactos y rápidos gracias a una amplia gama de programas de adquisición capaces de proporcionar imágenes 2D de altísima calidad, siempre perfectas para las distintas necesidades diagnósticas.
Tecnología ApT (Autoadaptive Picture Treatments)
Focus Pro
Braccio Ceph
Instrumentos de apoyo para el operador
Newtom GO 2D/3D está diseñado para garantizar un posicionamiento rápido, estable y optimizado del paciente y se integra perfectamente en el flujo de trabajo diagnóstico del consultorio odontológico. La avanzada ergonomía del dispositivo asegura su adaptabilidad a cada paciente ofreciendo excelentes resultados en cualquier aplicación clínica.
Gracias a sus tres guías láser y al amplio espejo frontal, el posicionamiento resulta simple y preciso.
El operador puede gestionar el dispositivo mediante un teclado incorporado en la máquina o con la App correspondiente, disponible para PC y iPad, que ofrece una interfaz intuitiva para seguir cada fase del examen: de la selección del protocolo diagnóstico al inicio del barrido.
Dos imágenes scout de bajísima dosis permiten verificar y regular el centrado del paciente a través de movimientos servoasistidos controlados desde PC para garantizar la máxima precisión antes del barrido 3D.
Soluciones para la seguridad del paciente
Newtom GO 2D/3D está diseñado para ofrecer diagnósticos de altísima calidad reduciendo al mínimo la dosis irradiada con avanzadas tecnologías que ponen el foco en la seguridad del paciente.
SafeBeam™ (patented)
{{ name }}
No hay documentos que coincidan con los filtros proporcionados.