

Características
Newtom 5G XL es un dispositivo CBCT con una exclusiva posición tumbada del paciente, diseñado para garantizar la máxima estabilidad, una alta calidad diagnóstica y un confort excepcional.
-
Imágenes de altísima resolución
Gracias a su avanzada tecnología, ofrece imágenes 2D y 3D de altísima resolución con una reducción de la dosis irradiada: hasta 10 veces inferior respecto a las CT tradicionales. -
Análisis de excelencia
Su amplia gama de FOV de hasta 21x19 cm permite un análisis detallado, útil en el ámbito de la odontología, la ortopedia, la otorrinolaringología y la cirugía maxilofacial. La tecnología SafeBeam™ adapta automáticamente la dosis, mientras que el modo ECO Scan optimiza la irradiación garantizando la seguridad del paciente. -
Camilla motorizada
El gantry abierto y la camilla motorizada de 5G XL aseguran un cómodo acceso incluso a los pacientes sedados o postrauma.



Imágenes diagnósticas
Con 5G XL, Newtom lleva la tecnología CBCT a nuevos campos de aplicación médica. Imágenes 2D y 3D de altísima calidad con una amplia selección de FOV e instrumentos software específicos.
- Fractura de capítulo y tróclea con medio de osteosíntesis
- Cabeza y cuello
- Cinex
- Codo
- Tibia
- Tobillo
- Muñec
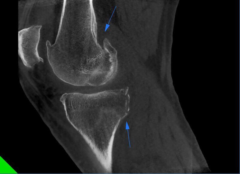
- Rodilla
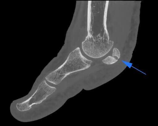
- Pie
- Manos

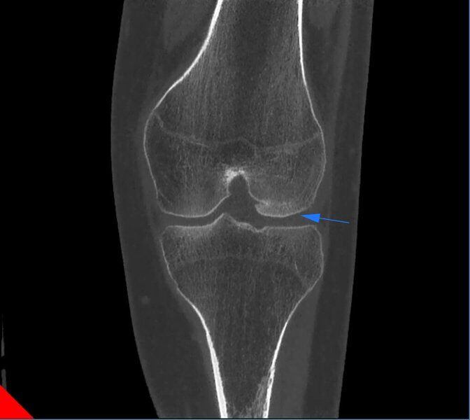
Articulación de la rodilla

Rotación de la muñeca

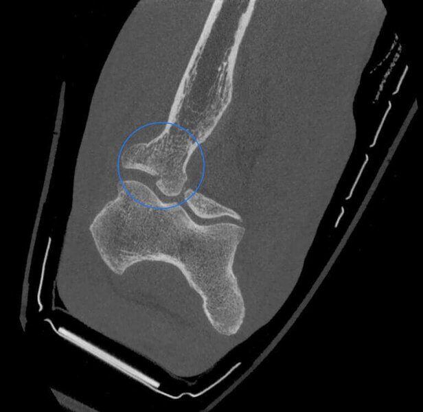
Fractura del proceso coronoides del cúbito.

Fractura distal del peroné.

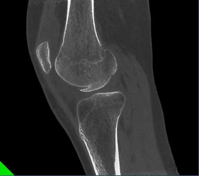
Lesión osteocondral en paciente con material de osteosíntesis.

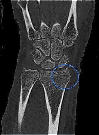
Fractura del proceso estiloides del radio.

Fractura del proceso estiloides del radio.

Fractura del proceso estiloides del radio.

Fractura de la cabeza del radio en paciente con yeso.

Fractura de la cabeza del radio en paciente con yeso.

Fractura de la cabeza del radio en paciente con yeso.

Fractura de la cabeza del radio en paciente con yeso.

Fractura de la cabeza del radio en paciente con yeso.

Fractura de la cabeza del radio en paciente con yeso.

Fractura de escafoides.

Fractura de escafoides.

Fractura de escafoides.

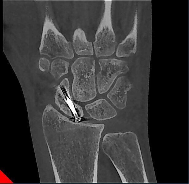
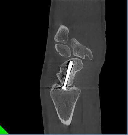
Fractura de escafoides con material de osteosíntesis.

Fractura de escafoides con material de osteosíntesis.

Fractura de escafoides con material de osteosíntesis.

Muñeca con yeso.

Muñeca con yeso.

Frattura del Condilo Femorale laterale

Frattura del Condilo Femorale laterale

Frattura del Condilo Femorale laterale

Frattura del Condilo Femorale laterale

Frattura multipla ginocchio

Frattura multipla ginocchio

Frattura multipla ginocchio

Ginocchio

Ginocchio

Accrescimento Osseo

Accrescimento Osseo

Frattura di osso sesamoide

Frattura di osso sesamoide

Frattura di osso Sesamoide e Falange

Frattura di osso Sesamoide e Falange

Frattura di osso Sesamoide e Falange

Frattura di osso Sesamoide e Falange

Frattura di osso Sesamoide e Falange

Microfratture di Scafoide

Microfratture di Scafoide

Os Trigonum

Os Trigonum

Os Trigonum

Osteonecrosi del calcagno

Osteonecrosi del calcagno

Osteonecrosi del calcagno

Amputazione dita

Amputazione dita

Microfrattura di osso Unciforme

Microfrattura di osso Unciforme

Microfrattura di osso Unciforme
- Dentizione
- Cinex
- Otorinolaringoiatria
- Articolazione temporo-mandibolare
- Seni mascellari
- Maxillo-facciale

Cisti mandibolare in Q4

Cisti mandibolare in Q4

Cisti mandibolare in Q4

Cisti mandibolare in Q4

Cisti mandibolare in Q4

Doppia Arcata

Doppia Arcata

Doppia Arcata

Doppia Arcata

Doppia Arcata

Doppia Arcata

Deglutizione

Catena Ossiculare e Nervo Facciale

Catena Ossiculare e Nervo Facciale

Catena Ossiculare e Nervo Facciale

Catena Ossiculare e Nervo Facciale

Impianto Cocleare

Impianto Cocleare

Impianto Cocleare

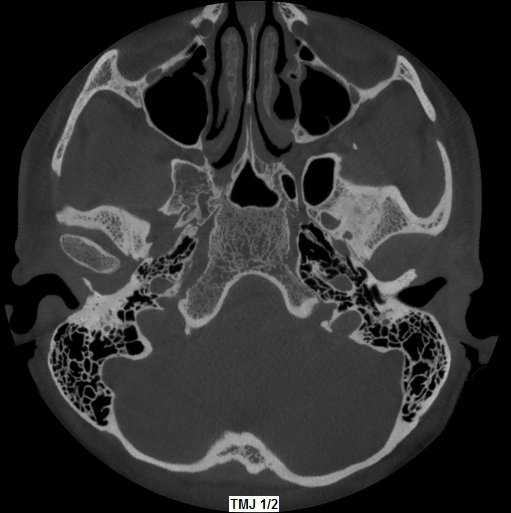
ATM Bocca Aperta

ATM Bocca Aperta

ATM Bocca Aperta

ATM Bocca Aperta

ATM Bocca Aperta

ATM Bocca Aperta

ATM Bocca Aperta

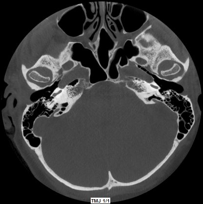
ATM Bocca Chiusa

ATM Bocca Chiusa

ATM Bocca Chiusa

ATM Bocca Chiusa

ATM Bocca Chiusa

ATM Bocca Chiusa

ATM Bocca Chiusa

Rottura del pavimento del Seno Mascellare sinistro con Sinusite

Rottura del pavimento del Seno Mascellare sinistro con Sinusite

Rottura del pavimento del Seno Mascellare sinistro con Sinusite

Rottura del pavimento del Seno Mascellare sinistro con Sinusite

Acquisizione Maxiillofacciale per valutazione chirurgica di paziente con Sindrome di Goldenhar

Acquisizione Maxiillofacciale per valutazione chirurgica di paziente con Sindrome di Goldenhar

Acquisizione Maxiillofacciale per valutazione chirurgica di paziente con Sindrome di Goldenhar

Acquisizione Maxiillofacciale per valutazione chirurgica di paziente con Sindrome di Goldenhar

Acquisizione Maxiillofacciale per valutazione chirurgica di paziente con Sindrome di Goldenhar
Exámenes 3D: precisión, seguridad y máxima eficiencia

Newtom 5G XL lleva el imaging 3D a un nuevo nivel ofreciendo imágenes volumétricas de altísima resolución con una irradiación mínima. Gracias a la posición tumbada del paciente, este dispositivo garantiza una excelente estabilidad, reduce el riesgo de artefactos de movimiento y mejora la calidad diagnóstica.
Su avanzada tecnología CBCT permite adquirir imágenes detalladas en los tejidos óseos con vóxel isotrópico original, secciones no superpuestas y reducción de los artefactos. Por este motivo, 5G XL resulta ideal en el ámbito de la odontología, la cirugía maxilofacial, la ortopedia y la otorrinolaringología.
Su amplia gama de FOV, de 6x6 cm a 21x19 cm, asegura la máxima flexibilidad para cualquier necesidad diagnóstica, mientras que el barrido de 360° captura todo el volumen con una única rotación optimizando los tiempos operativos.
El software NNT - Medical Suite ofrece instrumentos intuitivos para adquirir, procesar y compartir exámenes 2D y 3D con funciones avanzadas para la planificación de los tratamientos que mejoran la gestión de las imágenes. Además, la integración con CineX permite analizar estructuras anatómicas en movimiento, mientras que los sofisticados algoritmos de reconstrucción reducen los artefactos y garantizan imágenes claras y detalladas en cualquier contexto clínico.
Diagnóstico 2D avanzado, perfectamente integrado en un sistema de imaging de vanguardia.
Además de su excelencia en el imaging 3D de altísima resolución, Newtom 5G XL ofrece una gama completa de exámenes 2D que garantizan la máxima flexibilidad para cualquier necesidad diagnóstica.
-
Función Ray2D
La función Ray2D permite efectuar exámenes radiológicos 2D de baja dosis, perfectos para las evaluaciones preliminares y los seguimientos posoperatorios. Con una amplitud de 18x19 cm, las imágenes resultan claras y detalladas. Es posible adquirir la misma área desde distintos puntos de vista e identificar la perspectiva más eficaz para el análisis.
Para exámenes dinámicos, el modo CineX permite visualizar estructuras anatómicas en movimiento, como los conductos salivales y la articulación temporomandibular, a través de secuencias radiológicas que generan vídeos detallados. Los vídeos se pueden exportar en formatos estándar para analizar y compartir inmediatamente la información.
Accesibilidad, confort e imágenes de excelente calidad
5G XL es un sistema CBCT que proporciona exámenes de alta precisión con el paciente en posición tumbada. Es ideal para situaciones delicadas, como en caso de pacientes sedados, posquirúrgicos o con apneas nocturnas. La posición tumbada reduce los artefactos de movimiento y asegura una experiencia confortable.
La camilla motorizada de fibra de carbono se puede controlar desde la consola o desde el PC y se adapta fácilmente a distintas posiciones (prona, supina, craneocaudal). El gantry abierto facilita el acceso reduciendo la ansiedad y la claustrofobia, mientras que en los exámenes de los miembros superiores el paciente puede permanecer sentado.
5G XL es compatible con distintos protocolos avanzados:
-
RAY 2D
Un examen radiológico preliminar 2D de baja dosis, ideal para la evaluación inicial y para decidir si se desea continuar el estudio con un barrido 3D.
-
CineX
Un protocolo especial que permite analizar la dinámica articular en movimiento. -
3D de alta resolución
Para obtener detalles precisos en los tejidos óseos.
La consola intuitiva permite gestionar fácilmente la camilla y los láseres de centrado para asegurar un posicionamiento rápido y preciso.
Solución para la salud de los pacientes

El bienestar y la seguridad constituyen el centro de la investigación Newtom.
5G XL ofrece exámenes clínicos de altísima calidad suministrando al paciente la menor dosis de rayos posible para cada necesidad diagnóstica.
Este resultado es posible gracias a las distintas soluciones tecnológicas adoptadas.
-
El generador de alta potencia
Permite una filtración más eficaz protegiendo al paciente de las radiaciones de baja energía, las más perjudiciales. -
La emisión de los rayos en modo pulsado
Durante el barrido, la emisión de los rayos en modo pulsado requiere un tiempo extraordinariamente reducido: de un mínimo de 0,9 segundos a un máximo de 5,4 segundos. -
La colimación variable
Limita la exposición a las áreas de interés clínico exclusivamente, evitando la irradiación en las zonas que no son necesarias para el diagnóstico.
El gantry abierto contribuye al confort del paciente: facilita el acceso al área de barrido y elimina la sensación de claustrofobia y ansiedad, por lo que la experiencia resulta más serena y menos estresante.