NT_5G XL Vet_52

Caratteristiche

Newtom 5G XL VET si presenta come un sistema CBCT innovativo, caratterizzato dall'esclusivo posizionamento disteso del paziente, progettato per garantire stabilità, qualità diagnostica e comfort elevati. 

  • Immagini ad altissima risoluzione

    Il dispositivo genera immagini 2D e 3D ad altissima risoluzione, con una riduzione della dose di radiazioni fino a dieci volte inferiore rispetto alle tradizionali tomografie computerizzate (CT). 
  • Analisi d’eccellenza

    La gamma di campi di vista, che raggiungono dimensioni di 21 x 19 cm, abilita analisi dettagliate in diverse specializzazioni mediche, quali odontoiatria, ortopedia, otorinolaringoiatria e chirurgia maxillo-facciale. La tecnologia SafeBeam™ regola automaticamente la dose, mentre la modalità ECO Scan ottimizza l'irradiazione.  
  • Massima attenzione al paziente

    Il design aperto del gantry e il lettino motorizzato di 5G XL VET garantiscono un accesso agevole anche per pazienti sedati o con traumi.
NT 5GXL_caratteristica 2_1080x608
5g-xl-med-caratteristiche-2
5g-xl-med-caratteristiche-3

Immagini diagnostiche

Con il modello 5G XL, Newtom estende l'applicazione della tecnologia CBCT a nuove frontiere mediche. Immagini 2D e 3D di qualità superiore sono ottenute grazie a una vasta selezione di campi di vista e strumenti software dedicati. 

  • Immagini diagnostiche
5G XL VET_Immagini Diagnostiche_Lussazione ATM_1

5G XL VET_Immagini Diagnostiche_Lussazione ATM_2

5G XL VET_Immagini Diagnostiche_Lussazione ATM_3

5G XL VET_Immagini Diagnostiche_Lussazione ATM_4

5G XL VET_Immagini Diagnostiche_Lussazione ATM_5

5G XL VET_Immagini Diagnostiche_Lussazione ATM_6

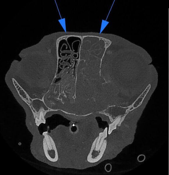
5G XL VET_Immagini Diagnostiche_Ernia del disco lombare_1

5G XL VET_Immagini Diagnostiche_Ernia del disco lombare_2

5G XL VET_Immagini Diagnostiche_Ernia del disco lombare_3

5G XL VET_Immagini Diagnostiche_Ernia del disco lombare_4

5G XL VET_Immagini Diagnostiche_Tumore nasale_1

5G XL VET_Immagini Diagnostiche_Tumore nasale_2

5G XL VET_Immagini Diagnostiche_Tumore nasale_3

5G XL VET_Immagini Diagnostiche_Tumore nasale_4

5G XL VET_Immagini Diagnostiche_Tumore nasale_5

5G XL VET_Immagini Diagnostiche_Tumore nasale_6

5G XL VET_Immagini Diagnostiche_Tumore nasale_7

5G XL VET_Immagini Diagnostiche_Lussazione della rotula pre e post-operatoria_1

5G XL VET_Immagini Diagnostiche_Lussazione della rotula pre e post-operatoria_2

5G XL VET_Immagini Diagnostiche_Lussazione della rotula pre e post-operatoria_3

5G XL VET_Immagini Diagnostiche_Lussazione della rotula pre e post-operatoria_4

5G XL VET_Immagini Diagnostiche_Lussazione della rotula pre e post-operatoria_5

5G XL VET_Immagini Diagnostiche_Lussazione della rotula pre e post-operatoria_6

5G XL VET_Immagini Diagnostiche_Lussazione della rotula pre e post-operatoria_7

Esami 3D: precisione, sicurezza e massima efficienza

Newtom 5G XL VET eleva l'imaging 3D a un nuovo livello, offrendo immagini volumetriche ad altissima risoluzione con un'esposizione minima alle radiazioni. Il posizionamento disteso del paziente assicura stabilità, riducendo gli artefatti da movimento e potenziando la qualità diagnostica. 

La tecnologia CBCT avanzata permette di acquisire immagini dettagliate dei tessuti ossei con voxel isotropico nativo, sezioni non sovrapposte e riduzione degli artefatti: Newtom 5G XL diventa così perfetto per odontoiatria, chirurgia maxillo-facciale, ortopedia e otorinolaringoiatria. 

L'ampia scelta di campi di vista, da 6 x 6 cm a 21 x 19 cm, garantisce flessibilità per ogni esigenza diagnostica, mentre la scansione a 360 gradi riporta l'intero volume con una sola rotazione.  

A supporto della gestione delle immagini, il software NNT offre strumenti facili da usare per acquisizione, elaborazione e condivisione di esami 2D e 3D, con funzioni avanzate per la pianificazione dei trattamenti. L'integrazione con CineX permette anche l'analisi di strutture anatomiche in movimento, mentre gli algoritmi di ricostruzione riducono gli artef

Diagnostica 2D avanzata, perfettamente integrata in un sistema di imaging all’avanguardia

Oltre alle sue eccezionali prestazioni nell'imaging 3D ad alta risoluzione, Newtom 5G XL offre una suite completa di esami 2D, fornendo una versatilità senza pari per soddisfare ogni necessità. 

  • Funzione Ray2D

    La funzione Ray2D facilita gli esami radiologici 2D a basso dosaggio, ideali per valutazioni iniziali e controlli post-operatori. Con un'ampia area di 18 x 19 cm, le immagini sono chiare e ricche di dettagli, offrendo inoltre la possibilità di acquisire la stessa area da angolazioni diverse per individuare la prospettiva ottimale. 

    Per gli esami dinamici, la modalità CineX consente la visualizzazione di strutture anatomiche in movimento, come i dotti salivari e l'articolazione temporo-mandibolare, attraverso sequenze radiologiche che generano filmati dettagliati. I video possono essere esportati in formati standard, facilitando l'analisi. 

Accessibilità, comfort e immagini di qualità superiore

5G XL VET si distingue come sistema CBCT perchè offre esami di precisione con il paziente in posizione distesa, rivelandosi efficace in situazioni delicate, come con pazienti sedati, post-chirurgici o affetti da apnee notturne. La posizione contribuisce infatti alla riduzione degli artefatti da movimento. 

Il lettino motorizzato in fibra di carbonio, controllabile sia dalla consolle che dal computer, si adegua a più posizioni (prona, supina, cranio-caudale). Il gantry aperto agevola infine l'accesso, minimizzando ansia e claustrofobia, mentre per gli esami degli arti superiori il paziente può restare seduto. 

Ecco i protocolli supportati da 5G XL VET.

  • RAY 2D

    Un esame radiologico preliminare 2D a bassa dose, perfetto per una valutazione preliminare e per la pianificazione di ulteriori indagini. 
  • CineX

    Un protocollo specializzato per l'analisi della dinamica articolare in movimento. 
  • 3D ad alta risoluzione

    Utile per ottenere dettagli sui tessuti ossei. 

    La consolle facile da usare permette una gestione agevole del lettino e dei laser di centratura, assicurando un posizionamento rapido e preciso. 

Soluzione per la salute dei pazienti

Newtom pone il benessere e la sicurezza del paziente al centro della sua ricerca e sviluppo. 

5G XL VET consente l'esecuzione di esami clinici di altissima qualità, minimizzando l'esposizione alle radiazioni in base alle specifiche necessità. 

Questo risultato è reso possibile dall'integrazione di diverse soluzioni tecnologiche all'avanguardia: vediamole qui di seguito.
  • Il generatore ad alta potenza

    Consente una filtrazione più efficace, tutelando il paziente dalle radiazioni a bassa energia, le più dannose. 
  • L’emissione dei raggi in modalità pulsata

    L'emissione pulsata dei raggi durante la scansione richiede un tempo estremamente ridotto, variando da un minimo di 0,9 secondi a un massimo di 5,4 secondi. 
  • La collimazione variabile

    Limita l'esposizione alle sole aree di interesse clinico, evitando l'irradiazione di zone non necessarie per la diagnosi. 

    Il design aperto del gantry contribuisce ulteriormente al comfort, eliminando sensazioni di claustrofobia e ansia e rendendo l'esperienza più serena. 

Download

Tipo di documento

Lingua

5G XL (VET) - Brochure | IT

5G XL (VET) - Brochure | EN

5G XL (VET) - Brochure | FR

5G XL (VET) - Brochure | ES

5G XL (VET) - Brochure | DE

5G XL (VET) | IT

5G XL (VET) | EN

5G XL (VET) | ES

5G XL (VET) | FR

5G XL (VET) | DE